会员
团购
模型
发布文章
上传模型
威海市中心医院应用3D打印定制踝关节假体
3D打印快讯
贵医附院成功实施全省首例3D打印儿童肿瘤假体置换手术
3D打印医疗模型如何让手术更安全?
3D打印应用
云南省肿瘤医院:3D打印修复胸廓 重建心肺“铠甲”
生物医疗又一进步,3D打印人工心脏瓣膜可在体内生长
新突破,3DBio生物3D打印耳朵移植成功
汇总 | 全球11家3D打印药物企业,中国有1家
3D打印新闻
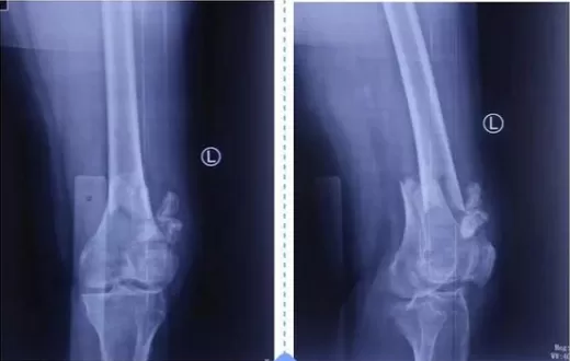
全国首例!3D打印定制钢板助70岁患者重建股骨远端
纽约大学利用3D技术助力开创性双手和面部移植
医美定制化时代来临!3D打印重塑1400亿市场?
中国头部3D打印药物公司三迭纪宣布与曙方医药合作
坚守工匠模式VS转型数字化,传统齿科未来路在何方?
增材制造医疗器械注册法规与流程专场培训通知
三迭纪融资1500万美元,用于加速3D打印药物的开发
3D打印技术在脊柱外科中的应用价值
3D打印隐形牙套成功之后的思考
报名通知:2020年医学3D打印技术与临床应用全国创新大赛
3D打印精准医疗(湘潭)研究院项目落户湘潭高新区 张迎春出席签约仪式
协和江南医院利用3D打印技术,成功为胫骨骨折患者实施手术
各省市新增3D打印医疗服务项目纳入收费系统